
今日,安阳市肿瘤医院神经外科在牛志强副主任医师的带领下,成功为一名脑膜继发恶性肿瘤患者实施了“脑室Ommaya泵置入术”。此项技术的成功开展,标志着我院在颅内恶性肿瘤的精准、高效治疗领域取得了突破性进展,为众多晚期脑转移瘤及脑膜癌病患者带来了新的治疗希望。
一、病魔突袭,传统治疗陷困境
该患者为中年女性,恶性肿瘤晚期,癌细胞不幸扩散至脑膜及脑室内,形成了继发性脑膜瘤。患者出现了严重的颅内高压症状,头痛、呕吐不止,生命受到严重威胁。面对如此棘手的病情,传统的全身化疗因血脑屏障的存在,药物难以有效进入脑脊液循环系统,疗效甚微;而反复的腰椎穿刺鞘内注射给药,不仅给患者带来巨大的痛苦,且药物在颅内的分布不均,无法实现稳定、持续的治疗浓度。
二、技术创新,精准植入“生命通道”
面对治疗困境,牛志强副主任医师及其团队经过严谨的术前讨论和评估,决定为患者实施“脑室Ommaya泵置入术”。Ommaya泵是一种植入皮下的储液囊,通过一根纤细的导管直接植入侧脑室内,相当于在头部建立了一条直达“肿瘤根据地”的精准靶向给药通道。
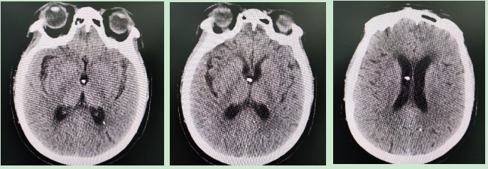
手术中,牛志强副主任医师凭借精湛的显微外科技术和丰富的解剖经验,精准地将导管尖端置入预定脑室位置,并将泵体稳妥埋置于头皮下。整个手术过程顺利,术后患者生命体征平稳。术后复查头颅CT示Ommaya泵置入位置良好。
三、微创高效,开启治疗新篇章
该手术的成功,为患者带来了立竿见影的获益:
1. 精准靶向治疗:医生可通过头皮直接穿刺Ommaya泵,将化疗药物注入储液囊,药物随即通过导管直接、均匀地分布于脑脊液中,轻松突破血脑屏障,高效杀灭癌细胞。
2. 治疗微创便捷:避免了反复腰穿的巨大痛苦,每次给药仅需像打针一样进行皮下穿刺,大大减轻了患者的身体负担和心理恐惧。
3. 可重复性高:该装置可长期留置,为需要多次、周期性鞘内化疗的患者提供了极大便利,确保了治疗的连贯性和稳定性。
4. 快速缓解症状:除了给药,Ommaya泵还可用于引流多余的脑脊液,迅速降低颅内压力,有效缓解患者的头痛、呕吐等症状,显著提高生活质量。
此次安阳市肿瘤医院第三例脑室Ommaya泵置入术的成功实施,是医院不断攀登技术高峰、坚持以患者为中心服务理念的生动体现。它不仅为一位患者点亮了生命之光,更为本地区广大类似病情的患者提供了全新的、有效的治疗选择,开启了安阳地区颅内恶性肿瘤靶向治疗的新篇章。
供稿 神经泌尿骨科 单帅帅
编辑 宣传科
一审 王青兵
二审 张艳峰
三审 王卫杰